Claudin18.2开导诊治新旅途,鼓吹靶向诊治精确化进度
胃癌动作行家范围内发病率与去世率均位居前方的消化谈恶性,在东亚地区疾病职守尤为千里重[1]。由于胃癌早期症状较为隐退,深广患者在确诊时病情已发展至中晚期阶段,导致预后欠安。频年来,跟着肿瘤分子分型本事的握续冲破以及精确检测妙技的禁止完善,基于生物符号物的靶向诊治战术为胃癌的诊治神气带来了深入变革。在此配景下,Claudin18.2(CLDN18.2)动作一种新兴且具有高度特异性的诊治靶点,因其靶向药物在临床相关中展现的显耀疗效而备受怜惜[2],为CLDN18.2阳性的胃癌患者提供了新的诊治选拔。可是,尽管当今胃癌的诊治靶点禁止更新,但不同生物符号物的抒发类似关系过甚潜在生物学关联尚未十足明确,这在一定程度上戒指了空洞性精确诊治战术的进一步优化与完善。因此,开展基于胃癌关节生物符号物的关联性相关具有迫切的临床相关价值。
The American Journal of Surgical Pathology上发表了一项具有迫切临床道理的回归性相关[3]。该相关对胃及胃食管交壤处腺癌中CLDN18.2的抒发进行了系统评估,并进一步分析其与临床病理特征过甚他生物符号物的关联。此外,相关还对不同组织学模式下CLDN18.2抒发的异质性张开了系统性分析。本文特对该相关的中枢发现进行提取与解读,以供读者参考。
相关打算
在相关打算方面,该相关纳入了145例经病理确诊的胃及胃食管交壤处腺癌患者。统统病例均接受系统的组织学复核及免疫组化检测,包括东谈主2(HER2)、顺次性去世配体-1(PD-L1)景况及错配建树(MMR)景况评估,并按照既往临床查验圭臬(≥75%的肿瘤细胞呈中度至强染色)对CLDN18.2进行阳性判读。该相关系统评估了CLDN18.2、HER2、PD-L1、MMR的抒发漫衍、共抒发模式以及CLDN18.2的肿瘤内异质性,以评估CLDN18.2动作胃癌诊治靶点的潜在临床行使价值。

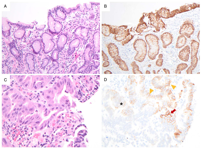
图1. 平时胃黏膜与胃食管交壤处腺癌组织中CLDN18.2抒发强度对比
相关后果
相关暴露,在纳入的沿途145例病例中,共有70例(48%)病例呈CLDN18.2阳性。在单因素分析中,CLDN18.2阳性在具有印戒细胞特征的肿瘤中更为常见(61% vs 43%,OR=2.14,95%CI: 1.05–4.48,P=0.0391)。在多因素分析中,CLDN18.2阳性仍与印戒细胞特征显耀相关(OR=6.21,95%CI: 1.59–27.81,P=0.0113)。进一步对各组织学因素进行分析,后果暴露CLDN18.2阳性率在印戒细胞因素中更高(61%),而在管状/乳头状因素中为45%,在低分化非印戒细胞因素中为51%,但此相反未达统计学道理(P =0.1919)。此外,CLDN18.2景况与其他临床病理见识、HER2、PD-L1或MMR景况之间未不雅察到显耀相关性。
同期,共有120例(83%)病例至少具备以下生物符号物中的一种:HER2阳性、PD-L1 CPS≥1以及错配建树劣势(dMMR)。将CLDN18.2纳入生物符号物谱进行评估后,至少具备一种可靶向诊治符号物的病例数进步至133例(92%)。值多礼贴的是,在25例三阴性(即HER2阴性、PD-L1阴性、MMR平时)的肿瘤病例中,CLDN18.2呈现阳性的比例达52%,其中滚动性病例中CLDN18.2阳性率为50%,这一后果辅导CLDN18.2有望为此类患者拓展新的诊治选拔。

图2. 不同PD-L1 CPS阈值下胃癌生物符号物阳性漫衍特征
在肿瘤内异质性方面,72%的病例呈现CLDN18.2“无染色”(<10%肿瘤细胞染色)或“弥散染色”(≥90%肿瘤细胞染色)的均一性抒发模式。在70例CLDN18.2阳性病例中,59例(84%)病例呈均一性阳性。可是,仍有少部分病例(28%)呈异质性抒发,辅导样本取材可能导致分类偏差的风险。

图3. 胃及胃食管交壤处腺癌中CLDN18.2抒发的双峰漫衍模式
此外,CLDN18.2的异质性抒发亦可见于具有羼杂组织学表型的病例中。其异质性抒发主要呈现两种体式:其一为“舆图样”,即强阳性区域与阴性区域之间存在清晰分界;其二为“交错型”,即在归拢显微镜视线内,细胞染色强度存在明显相反。单因素分析后果标明,滚动性肿瘤以及高品级腺癌中出现CLDN18.2抒发异质性的比例相对较低。可是,在多因素分析中,上述关联均未达到统计学显耀性水平。此外,其他临床病理特征亦未暴表示与CLDN18.2异质性抒发存在相关性。

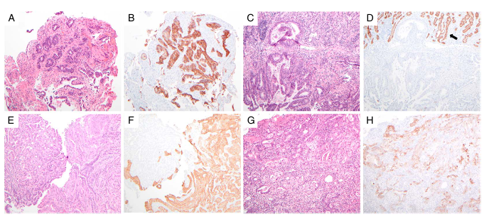
图4. 不同组织学模式下CLDN18.2的抒发相反
总结
该相关后果暴露,胃及胃食管交壤处腺癌患者中CLDN18.2阳性率达48%,将其纳入生物符号物谱后具备至少一种生物符号物的病例比例进步至92%。在HER2、PD-L1与MMR三阴性肿瘤中,仍有52%的病例抒发CLDN18.2,突显其动作孤独诊治靶点的潜在价值。此外,CLDN18.2在印戒细胞型肿瘤中更为富集,染色模式以均一性抒发为主,但仍有28%病例存在肿瘤内异质性。通过整合CLDN18.2与多种其他生物符号物的分析,该相关构建了胃癌的生物符号物特征图谱,为其分子特征认知与临床行使提供了迫切依据。以前的前瞻性相关将进一步阐发CLDN18.2的生物学道理及临床价值,鼓吹更精确的肿瘤分层与个体化诊治战术的优化。
参考文件:
[1] Sung H, Ferlay J, Siegel RL, et al. Global Cancer Statistics 2020: GLOBOCAN Estimates of Incidence and Mortality Worldwide for 36 Cancers in 185 Countries. CA Cancer J Clin. 2021;71(3):209-249.
[2] Kohei Shitara et al. Global prevalence of CLDN18.2 in patients with locally advanced (LA) unresectable or metastatic gastric or gastroesophageal junction (mG/GEJ) adenocarcinoma: Biomarker analysis of two zolbetuximab phase 3 studies (SPOTLIGHT and GLOW). J Clin Oncol 41, 4035-4035(2023).
[3] Liu BL, Cleary JM, Shi J, Hornick JL, Zhao L. Claudin 18.2 and Other Therapeutic Biomarkers in Gastric and Gastroesophageal Junction Adenocarcinomas. Am J Surg Pathol. 2025;49(12):1233-1244.
审批编号:CN-173127有用期至:2026-11-27本材料由阿斯利康提供,仅供医疗卫生专科东谈主士参考
*“医学界”致力所发表本色专科、可靠,但不合本色的准确性作念出本心;请相关各方在接受或以此动作方案依据时另行核查。

上一篇:月饼革命要守牢安全底线 下一篇:没有了
